The home for bone health
We are advancing knowledge of skeletal biology through research, providing advanced patient care, and preparing the next generation of scientists and physicians.
Latest news
Mohamed Hassan, DDS, PhD: A 2026 John Haddad Young Investigator Award Recipient
Mohamed Hassan, DDS, PhD, was one of eleven recipients of the 2026 ASBMR John Haddad Young Investigator Awards. These awards allow early career ASBMR investigators to participate in the 2026 AIMM-ASBMR Young Investigators’ Meeting on April 7 – 10, 2026 held in Snowmass, CO. “It’s an honor to be awarded the American Society for Bone […]
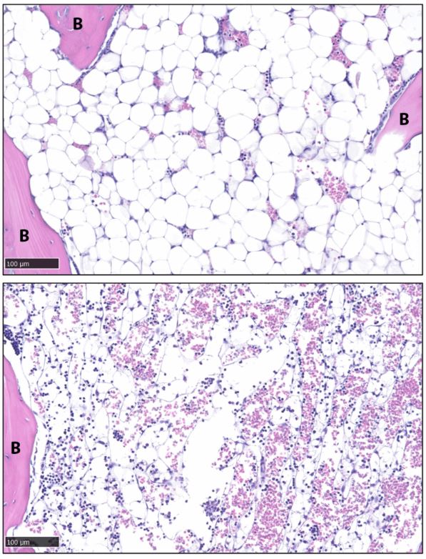
Specific brain signals rapidly eliminate body fat in mice
Fat cells called stable adipocytes (shown in white in the top image) were depleted completely from the bone (B) in mice after nine days of treatment, as shown in the bottom image. (Image courtesy of the Scheller lab)
Events
Tap into latest developments, opportunities and insights from the Division of Bone and Mineral Diseases

